السبت، 17 نوفمبر 2018

استئصال كليه متكيسه كبيره

تنبيه هام


أن جميع مايطرح في المنتدى يعبر عن وجهة نظر كاتبه

بسم الله الرحمن الرحيم


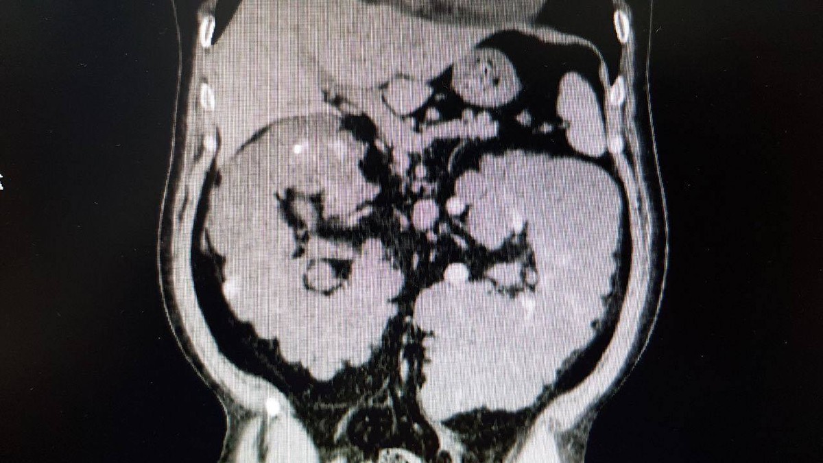
استئصال كليه متكيسه كبيره في المستشفي السعودي الألماني بالرياض

تمكن الفريق الطبي بقسم المسالك البولية بالمستشفى السعودي الألماني بالرياض من استئصال الكليه اليسري متعدده الأكياس بحجم يتجاوز ٣٠ سنتيمتر.
و كان المريض صاحب ال٤٨ عام يعاني من الآلام شديده في البطن مع ارتفاع بدرجه الحراره.
و باجراء الفحوصات تبين وجود أكياس متعدده ممتلئة بالصديد و التجمعات الدموية، و تم استئصال الكليه اليسري بنجاح علما بأن المريض كان يقوم باجراء الغسيل الكلوي المستمر.
وتم خروج المريض بصحه و عافيه بعد إجراء الجراحة.

Let's block ads! (Why?)



استئصال كليه متكيسه كبيره

ليست هناك تعليقات:

إرسال تعليق